New Update
/sathyam/media/media_files/2024/11/22/fmmfLfKYhRaxE7PMS4wQ.jpg)
കൊച്ചി: കൊച്ചി മുണ്ടംവേലി സ്വദേശിനിയായ 44 വയസ്സുകാരിയുടെ ശ്വാസകോശത്തില് നിന്നാണ് കാണാതായ മൂക്കുത്തിയുടെ ഭാഗം പുറത്തെടുത്തത്.
Advertisment
/sathyam/media/media_files/2024/11/22/MG5kcOjrlBOb58EoCGP8.jpg)
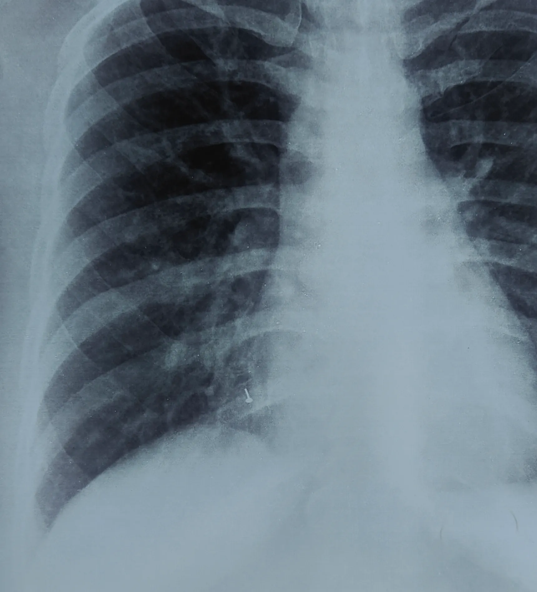
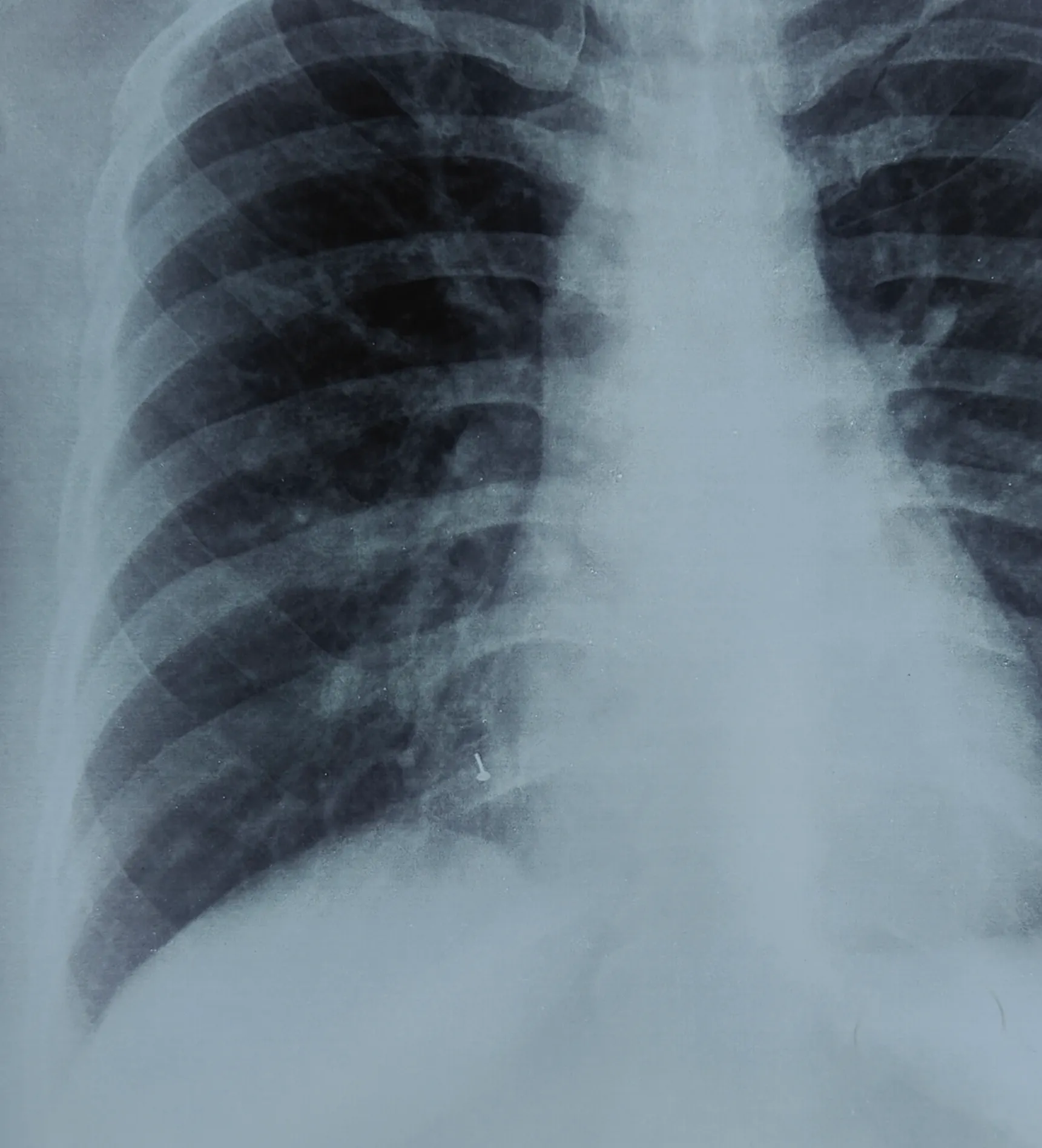
വിട്ടുമാറാത്ത പനിയും ചുമയുമായി കൊച്ചിയിലെ സ്വകാര്യ ആശുപത്രിയില് ചികിത്സ തേടിയപ്പോള് എടുത്ത എക്സ്-റേയിലാണ് നാലുവര്ഷം മുന്പ് കാണാതായ മൂക്കുത്തിയുടെ ചങ്കിരി വലത്തെ ശ്വാസകോശത്തിന്റെ കീഴ്ഭാഗത്ത് തറച്ചിരിക്കുന്നതായി കണ്ടെത്തിയത്. തുടര്ന്നാണ് വിദഗ്ദ ചികിത്സക്കായി രോഗി അമൃത ആശുപത്രിയിലെത്തിയത്.
/sathyam/media/media_files/2024/11/22/R2Ogu2WvzNHSq4QuvUO1.jpg)
അമൃത ആശുപത്രിയിലെ റെസ്പിറേറ്ററി മെഡിസിന് മേധാവി ഡോ.അസ്മിത മേത്തയുടെ നേതൃത്വത്തിലുള്ള മെഡിക്കല് സംഘം ശസ്ത്രക്രിയ കൂടാതെ തന്നെ ഫൈബ്രോട്ടിക് ബ്രോങ്കോസ്കോപ്പി വഴി മൂക്കുത്തിയുടെ ഭാഗം ശ്വാസകോശത്തില് നിന്ന് പുറത്തെടുത്തു. രണ്ടുദിവസത്തെ വിശ്രമത്തിനുശേഷം യുവതി ആശുപത്രി വിട്ടു.
/sathyam/media/agency_attachments/5VspLzgrB7PML1PH6Ix6.png)
Follow Us